症例写真

症例写真

目の下のクマを改善させたい!!

目のクマ・くぼみ・たるみ 20代 / 女性
施術内容
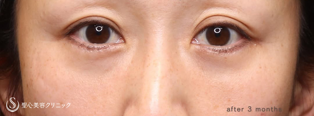
プレミアムPRP皮膚再生療法(目の下のくま)

20代女性の患者様です。
目の下のクマを改善させたいとのことで、当院定番の「プレミアムPRP皮膚再生療法」を行いました。

プレミアムPRP皮膚再生療法(目の下のくま)_Before
Before
プレミアムPRP皮膚再生療法(目の下のくま)_After
After(治療後9ヶ月)
治療後9ヶ月です。
ナチュラルで、とても良い仕上がりです。
「プレミアムPRP皮膚再生療法」で満足度の高い効果を出すためには、、、「しっかりとしたノウハウ」と「しっかりとした技術」の両方が必要です。
この治療法は、慣れている医師が行えば、非常に優れた施術です。
手術まではちょっと、、、という方も、お気軽にご相談下さい。
六本木院副院長 大宮院 名古屋院医師
六本木院副院長 大宮院 名古屋院医師
菱田 健作 医師

プレミアムPRP皮膚再生療法(目の下のくま)

処置方法 麻酔クリームおよびブロック麻酔後、極細の鋭針や鈍針などで慎重に注入。【成分】患者様自身の、PRP(多血小板血漿)に成長因子(ヒト線維芽細胞増殖因子)、塩化カルシウム。
リスク・副作用 浮腫、痛み、斑状出血、皮下結節、皮下色素沈着、アレルギー反応、異常増殖、悪性腫瘍の既往がある場合腫瘍の増大。
費用 290,000円

合計金額/290,000円(319,000円)

※()内は税込みの金額です。

※料金、リスク・副作用、施術内容は登録時点での情報となります。最新の情報はクリニックへお問い合わせください。

「プレミアムPRP皮膚再生療法(目の下のくま)」を
もっと知りたい方はこちら